牙齿上有黑线和黑点不用急着补牙,先看看是不是个问题引发的
牙齿上有黑线和黑点不用急着补牙,先看看是不是个问题引发的
不一定。
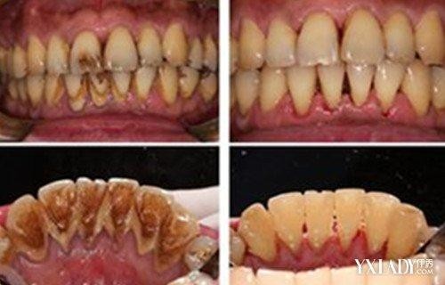
牙齿表面有黑点黑点,一般是这两个问题导致的。
1、色素沉积
如果经常喝浓茶、咖啡等深色的食物,还有喜欢嚼槟榔(吃槟榔会增加口腔癌风险,建议早点戒掉)等情况都容易导致神色食物沉积在牙齿表面,从而出现黑点黑线。

如果是外源性的色素沉积导致的黑点黑线,可以考虑通过刷牙将其清理干净,如果刷牙也没办法清理干净的话,则可以通过超声波洁牙将这些顽固的外源性色素清理干净。

添加图片注释,不超过 140 字(可选)
2、龋齿
当牙齿遭受致龋菌侵蚀的时候,一般初期会出现脱矿,牙齿局部发白,尔后随着时间推移渐渐变成黑点、黑线。

当发现牙齿已经存在明显的黑点黑线,可以及时到正规的口腔医院检查,如果确认龋坏的话,根据医生建议及时进行补牙修复。

-
- 160624 陈伟霆推出《我门》MV 热血打戏引爆点击狂潮
-
2026-04-08 23:35:24
-
- “改革开放40年杰出民营企业家”系列报道——袁国强:追求极致 永不停步
-
2026-04-08 23:33:09
-
- 淄博十八中 书法教育成校教育特色
-
2026-04-08 23:30:55
-
- 巧做花灯度元宵
-
2026-04-08 23:28:41
-
- 每天学一幅简笔画--肖战简笔画画法
-
2026-04-08 23:26:26
-
- 鹤壁市民在淇河捕获一只鳄龟,森林公安提醒:鳄龟会破坏生态平衡别随意放生
-
2026-04-08 23:24:12
-
- 中东部雨雪来袭,出行需谨慎!
-
2026-04-08 23:21:58
-
- 商河县1-5月网零额突破17亿元,增幅位居全市第一
-
2026-04-08 23:19:44
-
- 人教版一年级在左右我头里儿的写法
-
2026-04-08 23:17:29
-
- 苹果iPhone6s再曝光:新增Apple Watch式动态壁纸
-
2026-04-08 23:15:15
-
- 村村有好戏 | 淄博市张店区车站街道安乐街社区开展“国防有我”主题教育宣讲活
-
2026-04-08 11:44:18
-
- 北京大学招生组来到泸溪一中开展宣讲交流活动
-
2026-04-08 11:42:03
-
- iPhoneXSmax和11该如何选择?
-
2026-04-08 11:39:49
-
- 邹市明出院等待下一步治疗方案,眼疾严重或就此告别拳台
-
2026-04-08 11:37:35
-
- 小熊老师:关于开平方的概念
-
2026-04-08 11:35:20
-
- 松坂桃李透露讨厌自己名字的真正原因
-
2026-04-08 11:33:06
-
- 手持“轩辕通” 畅行通全国 “轩辕通”全国累计刷卡交易破1亿笔
-
2026-04-08 11:30:52
-
- 美国多个政府机构即将关门大吉,他们哪来的底气四处挑火干仗?
-
2026-04-08 11:28:37
-
- 江西南昌:“爱心厨房”上新升级
-
2026-04-08 11:26:23
-
- 简讯:恒大的法定代表人
-
2026-04-08 11:24:09



沙特阿拉伯简介
地理西南·云南坝子汇集篇-红土大地-彝乡彝韵「楚雄篇」
唐笑与武警合体直播,再回应被打事件:感谢你站出来澄清事实真相
辅食微商初哆咪起底:无生产资质、涉嫌传销过亿、百万宝妈被套路
取一杯天上的水是什么歌(歌词中有取一杯天上的水是什么歌)
海上堡垒,钢铁巨兽 美国11艘现役核动力航空母舰一览详细解读
高仁:《翡翠恋人》中和李钟硕相爱相杀的恶少,其实是个暖男
「空难回顾」消失的法航447航班
海底捞一顿大概多少钱 海底捞贵吗
全国各地省会城市综合排名出炉 – 杭州与广州的差距越来越小