颅脑CT高清解剖图谱,附带详细标注
颅脑CT高清解剖图谱,附带详细标注
颅脑CT横断面高清解剖图谱
精选9层常用解剖断面
每一层都带有详细标注,值得收藏学习

颅脑CT横断面高清解剖图谱1(额顶叶层面)

颅脑CT横断面高清解剖图谱3(放射冠层面)

颅脑CT横断面高清解剖图谱4(双侧脑室层面)

颅脑CT横断面高清解剖图谱5(额颞叶、基底节区核团层面)

颅脑CT横断面高清解剖图谱6(基底节区核团层面)

颅脑CT横断面高清解剖图谱7(脑血管环层面)

颅脑CT横断面高清解剖图谱7(颞叶、枕叶层面)

颅脑CT横断面高清解剖图谱8(枕叶、脑干层面)

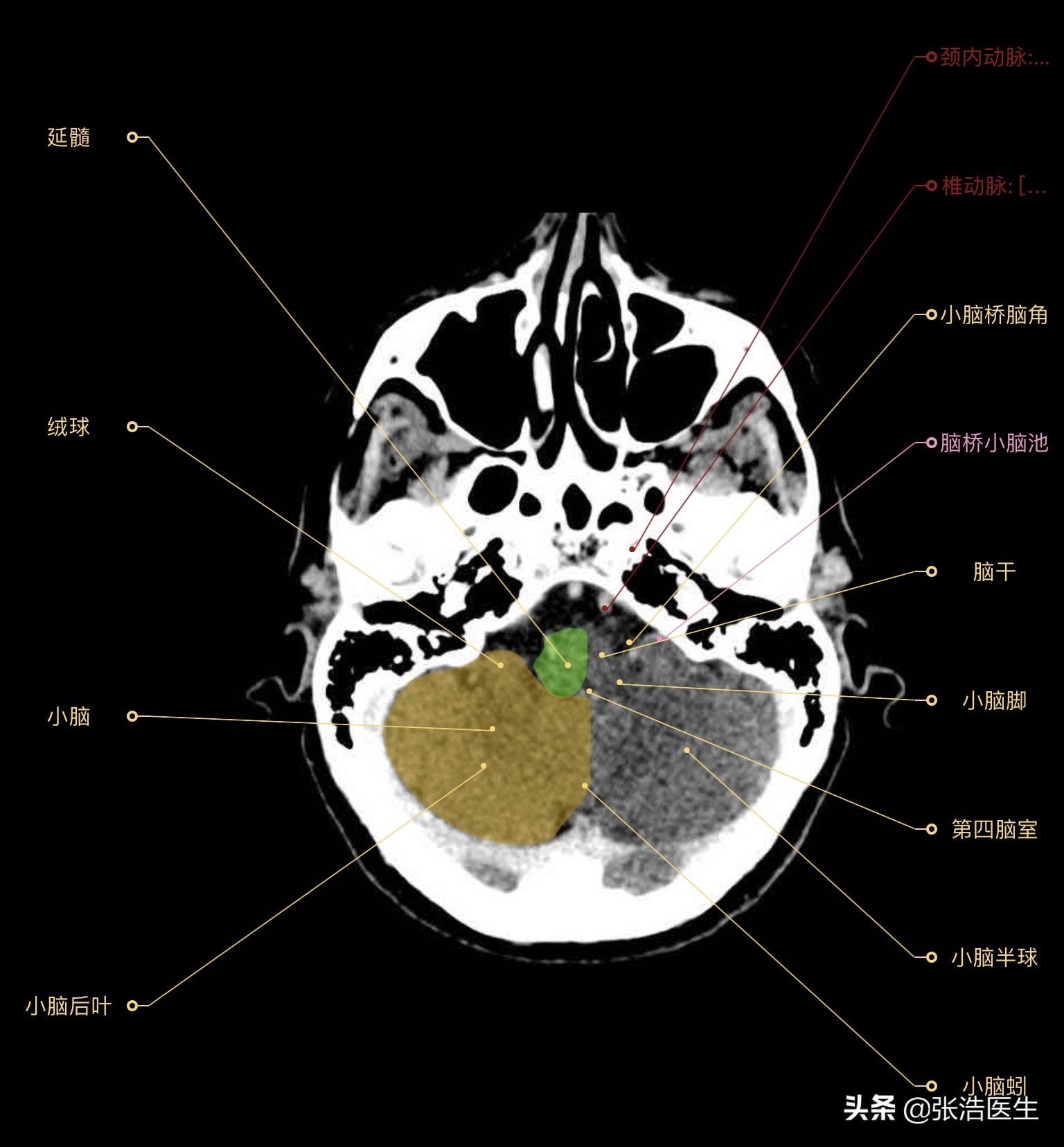
颅脑CT横断面高清解剖图层9(小脑层面)
大家有别的影像解剖图谱需求,可以在文章下方留言,张医生在收集后会陆续给大家以图片或视频的形式制作,大家一起学习!
⬇感谢影像解剖图谱的技术资料支持:
影像解剖图谱-影像人必备软件
-
- 封神榜中的雷震子是什么神
-
2025-12-17 09:23:21
-
- 迪奥45只热门款包包合集,独特设计品牌魅力
-
2025-12-17 09:21:06
-
- 道的最高境界,是什么~道经最后一章告诉你
-
2025-12-17 09:18:52
-
- 被分手你应该怎么做?还要不要苦追对方复合?
-
2025-12-17 09:16:38
-
- 150多只伪虎鲸搁浅澳洲 幸存者遭安乐死
-
2025-12-17 09:14:23
-
- 10张图,测试你是否有恐高症。第7张,看了腿软了
-
2025-12-17 09:12:09
-
- 朱元璋子孙后代的命运如何?
-
2025-12-17 09:09:55
-
- 震撼!章子怡离婚揭秘,撒贝宁账号惊爆真相!
-
2025-12-17 09:07:40
-
- 一日一成语:雀屏中选
-
2025-12-17 09:05:26
-
- 苹果手机最隐藏的省电设置技巧,很多人不知道。教你如何设置。
-
2025-12-17 09:03:12
-
- 大学毕业生直招士官进部队的五种路子
-
2025-12-17 09:00:57
-
- 90后的童年雪糕,全吃过的估计都抱娃了!
-
2025-12-17 08:58:43
-
- 《广式白斩鸡》做法
-
2025-12-17 08:56:29
-
- 尤克里里调音方式
-
2025-12-17 08:54:14
-
- 一亿元现金长什么样?
-
2025-12-17 08:52:00
-
- 山东省高校排行榜
-
2025-12-17 08:49:46
-
- 女人过五十岁,还会对婚外的男人感兴趣吗?三个女人说了实话
-
2025-12-17 08:47:31
-
- 陈一发首次cos照流出, 这种画风网友不淡定了, 纷纷P出更污的照片
-
2025-12-17 08:45:17
-
- 病弱男主文推荐,大多扮猪吃老虎!!
-
2025-12-17 08:43:03
-
- 二战时出现的破甲弹有多猛
-
2025-12-17 03:44:06



乔任梁遗照(乔任梁 遗照)
刘德华两个儿子(刘德华有个儿子)
日本儿子猜母亲,父亲猜女儿是什么节目
车晓老公(车晓老公个人资料)
民国四大无耻文人:郭沫若/老舍/臧克家/冯友兰(四大文人败类)
黄海波的父亲(黄海波父亲是黄宗洛)
为什么说回民女人 下边 带盖,关于这几点你知道多少
三公的游戏规则是什么?一般可以几个人玩?
退役后,申请二次入伍的条件及优待
叶剑英的母校东山中学诞生的时候是怎样的?为何这样选址?