我的脆皮牙齿|牙隐裂,你应该知道的牙齿健康隐患→
我的脆皮牙齿|牙隐裂,你应该知道的牙齿健康隐患→
“咔嚓”
你是否曾经历过
牙齿突然疼痛
却又找不到原因?
这可能是牙隐裂在作祟
让我们一起
探索牙隐裂的真相
以及如何预防和治疗
什么是牙隐裂?
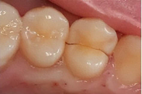
牙隐裂,又称不全牙裂或牙微裂,是指牙齿表面由于承受异常咬合力而产生的非生理性细小裂纹。这种裂纹在早期常不易被发现,但随着裂纹加深,可能会引起牙齿敏感、咀嚼不适、咬合痛或自发痛等症状。牙隐裂是牙齿敏感及牙痛的原因之一。

牙隐裂的表现
轻度隐裂:大多数患者没有明显不适感。
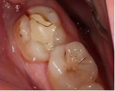
中度隐裂:患者可能对冷热刺激敏感,或不能咬硬物。
重度隐裂:裂纹可能累及牙髓,甚至导致牙体折裂,最终可能需要拔牙。

牙隐裂的原因
1. 先天发育不足:牙齿表面有发育沟,沟深的牙齿容易出现牙隐裂。
2. 牙齿过度“疲劳”:尤其是上颌第一磨牙,由于其解剖特点和使用频率,容易出现疲劳性隐裂。
3.咀嚼过程中突然遇到沙砾、骨渣、咬硬物、或用牙开瓶盖等使牙齿某个地方突然承受的咬合力加大。
4.根管治疗后未及时进行冠修复的牙齿。

牙隐裂的治疗 >>
裂纹仅位于釉质表面,可通过调磨高陡牙尖、锐利边缘。
裂纹达牙本质:制备窝洞后充填治疗或采用冠修复。
裂纹累及牙髓:需要根管治疗后进行冠修复保护。
裂纹已达髓底:牙齿无法保留,需拔除后修复。

预防措施
● 养成良好的饮食习惯,少咬硬性食物。
● 定期进行口腔检查,早发现、早治疗。
● 平衡咬合力,有问题的患牙及时处理,避免偏侧咀嚼,防止个别牙受力过大。
● 对于有夜磨牙等表现的患者,可配戴咬合垫。
作者介绍

王雪蓉 医师
牙体牙髓科/显微牙体治疗专科
擅长:龋病、牙髓病、根尖周疾病的治疗,活髓保存治疗,树脂美学修复,显微镜下复杂根管的治疗。
口腔科地址
嘉宾口腔:罗湖医院门诊楼3楼(深圳市罗湖区友谊路47号)
电话:0755-82180203
春风口腔:罗湖医院春风院区门诊1楼(深圳市罗湖区春风路2069号)
电话:0755-82140310
国贸口腔:国贸商业大厦三楼口腔科(深圳市罗湖区南湖路3005号)
电话:0755-82337983
慢病院口腔:罗湖区慢性病防治院4楼口腔科
电话 0755-82451882
东门口腔:东门社康6-7楼(立新路2号)
电话0755-82200110
中医院口腔科:罗湖区中医院(罗湖区仙桐路16号)
电话:25160866-2518
来源:口腔科
文中部分图片来自网络,如有侵权,请联系删除。
-
- “一大二公”是“画地为牢”,“分田单干”是又一次解放
-
2025-08-02 03:03:03
-
- 封神罕有人知神秘传说,陆压本体大鹏鸟,鸿钧本体蛐鳝,二人打赌
-
2025-08-02 03:00:49
-
- 渣滓洞,白公馆之行
-
2025-08-02 02:58:34
-
- 4本重生学霸女主文,重活一世,沉迷学习,无法自拔
-
2025-08-02 02:56:19
-
- 32张创意美术儿童画含线稿,很值得初学者收藏(六)
-
2025-08-02 02:54:04
-
- Selina再谈烧伤事故,自曝康复期像坐牢,体温至今冷热骤变
-
2025-08-02 02:51:49
-
- 中国造出黑洞武器:反雷达技术一流,让战斗机隐形,它到底多牛?
-
2025-07-31 21:28:07
-
- 刘敏涛:30岁嫁入豪门,却因一根冰淇淋离婚,人到中年却再度翻红
-
2025-07-31 21:25:53
-
- 【玩转烟台】码住!烟台养马岛游玩指南
-
2025-07-31 21:23:38
-
- 伊拉克的冷知识
-
2025-07-31 21:21:23
-
- 一手猛料!昆山或新增一个火车站
-
2025-07-31 21:19:08
-
- 下周股市十大猜想:
-
2025-07-31 21:16:53
-
- 湛江必去十大旅游景点推荐,湛江周边游好去处,你去过几个?
-
2025-07-31 21:14:38
-
- 萝卜饺子这样调馅最好吃,不腥不腻,没有复杂的工序和调料,真香
-
2025-07-31 21:12:23
-
- 蒋梦婕
-
2025-07-31 21:10:08
-
- 法国著名的“裸体小镇”,气候宜人风景秀丽,游客也要赤诚相见!
-
2025-07-31 21:07:53
-
- 2023年,巴基斯坦海军现役舰队规模
-
2025-07-31 21:05:38
-
- 中国十大国企建筑集团背景简介
-
2025-07-31 21:03:23
-
- 山西典型违法案件,涉长治1起!
-
2025-07-31 21:01:09
-
- 万万没想到,中国在英国竟有一块“飞地”,面积仅16.7平方米!
-
2025-07-31 20:58:54



乔任梁遗照(乔任梁 遗照)
刘德华两个儿子(刘德华有个儿子)
车晓老公(车晓老公个人资料)
民国四大无耻文人:郭沫若/老舍/臧克家/冯友兰(四大文人败类)
黄海波的父亲(黄海波父亲是黄宗洛)
三公的游戏规则是什么?一般可以几个人玩?
退役后,申请二次入伍的条件及优待
QRL遗照手臂太可怕(qrl遗照手臂丢失)
章子怡国籍是哪国(章子怡是中国籍吗)
原神刻晴的乳液狂飙图片刻晴乳液狂飙图是什么漫画